hr en de si
Galerie

  • Kompozitne ljuskice

    Kompozitne ljuskice Kompozitne ljuskice
  • Izbjeljivanje zubi

    Izbjeljivanje zubi Izbjeljivanje zubi
  • Endogeno izbjeljivanje

    Endogeno izbjeljivanje Endogeno izbjeljivanje
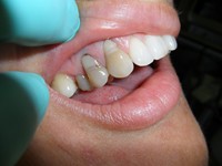
  • Protetska sanacija

    Protetska sanacija Protetska sanacija
  • Zubni nakit

    Zubni nakit